О проекте
Контакты
Сервис
 
MedInfo
Новости
Инструкция
 
Вопросы и ответы
Запрос ПИН кода
Статистика
Авторизация в ЕГИСЗ
Реестр ЖНВЛП
Лечебное учреждение
Закладки
Методики центра
 
 
 
Стоматологический центр Дента-Сервис
Основные методики, применяемые в нашем стоматологическом центре
 

1. Художественная реставрация зубов
Это восстановление коронки части зуба с учетом формы, цвета, прозрачности и положения зуба в зубной дуге.

2. Эндодонтическое лечение
Удаление содержимого корневых каналов зубов, обработка каналов и пломбирование современными пломбировочными материалами ведущих европейских производителей.

3. Пародонтологическое лечение
Пародонтологическое лечение с применением зубосохраняющих методик при лечении заболевании тканей пародонта (пародонтит, пародонтоз).

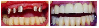
4. Зубное протезирование
Зубное протезирование - это единственный способ восстановить полностью утраченный зуб. Наш стоматолог ортопед с помощью современных технологий ортопедической стоматологии восстановит утраченные зубы. Зубное протезирование бывает съемным и несъемным. В нашей клинике зубное протезирование проводится частичными или полными съемными нейлоновыми протезами - 100% адаптация в полости рта. Вместо жёстких металлических кламеров в качестве фиксации мы предлагаем пациентам использовать кламеры из термопластов под цвет зубов, что позволяет не обрабатывать опорные зубы, не покрывать их коронками. Такие кламеры эстетичны, значительно улучшают фиксацию протеза за счёт своей эластичности, не стирают и не расшатывают опорные зубы.

5. Металлокерамические коронки, керамические коронки на каркасе

6. Снятие зубных отложений
Снятие зубных отложений УЗ аппаратом "Пьезон", полировка "AIR FLOW" с последующим покрытием фтор-гелем.

7. Ортодонтия - исправление прикуса
Виды брекет-систем:

Металлические брекет-системы: стальные, стальные безлигатурные (с замочками)

Эстетические брекет-системы: керамические и сапфировые

8. Отбеливание зубов системой Bleach'n Smile
Яндекс.Метрика Реклама на сайте